aktualisiert am:

06. August 2023

Bilder Hebbel
Kirchgang
Fraktur
Jedermannturnier
Weihnachtsmarkt
Fasching
Nikolaus
Tupperabend
Wernerfest
Krabbelgruppe
Kindergarten Joch

Besucherzähler (ab 02.10.2016):
 
 

Hebbel's Fraktur

Hier gehts zur Materialentfernung (siehe weiter unten).

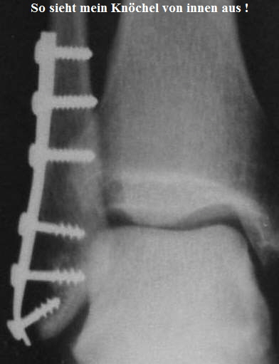
Am 12.08.2001 hab ich mir beim Fußballspiel den rechten Außenknöchel gebrochen !

Dieser Bruch nennt sich “Weber B Fraktur, rechts OSG”.

Am 15.08.2001 wurde ich in der Berufsgenossenschaftlichen Unfallklinik in Frankurt am Main operiert.

Die Fäden wurden am 28.08.2001 gezogen.

Sechs Wochen durfte ich nicht auftreten (keine Belastung). Ab der siebten Woche (26.09.2001) durfte mit 20kg und ab der achten Woche (03.10.2001) mit 40kg belastet werden.

Rimg0002_index Rimg0010_index
Rimg0016_index
Rimg0019_index
Rimg0022_index
Rimg0023_index
Rimg0029_index
Rimg0030_index

Hier ist ein schönes Röntgenbild von meinem Haxen !!

 

 

 

Zwischen der zweiten und dritten Schraube, von unten, war der Bruch.

RIMG0135a
Pfeil_oben

________________________________________________

Am 23.04.2002 bin ich das Material aus meinem Knöchel losgeworden !!

Ich war wieder in der Berufsgenossenschaftlichen Unfallklinik in Frankurt am Main.

R0011569hp_index
R0011572hp_index
R0011584hp_index
R0011588hp_index
Pfeil_oben